I would highly recommend Mark and The Modern Dentist to anyone considering improving their smile. My teeth whitening treatment and composite bonding has left me feeling confident and proud to smile at every opportunity - something I was very conscious of doing beforehand! Really pleased with the final result and the friendly and informative support provided by Mark throughout.
Good dentistry shouldn't be visible
Treatment Gallery
Select treatment type:
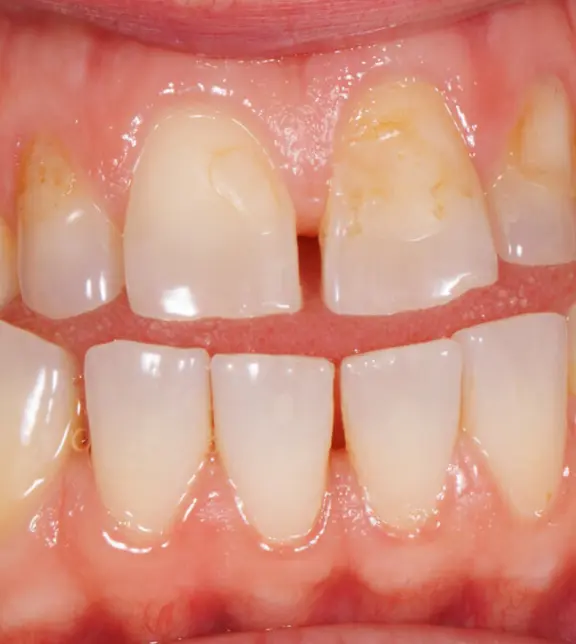
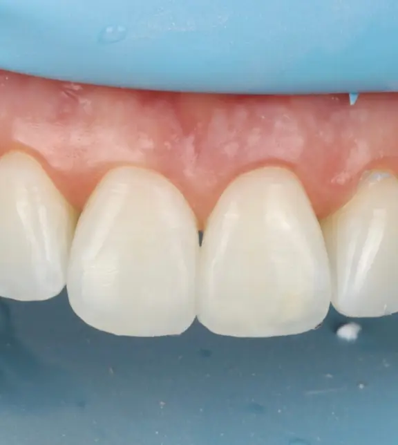
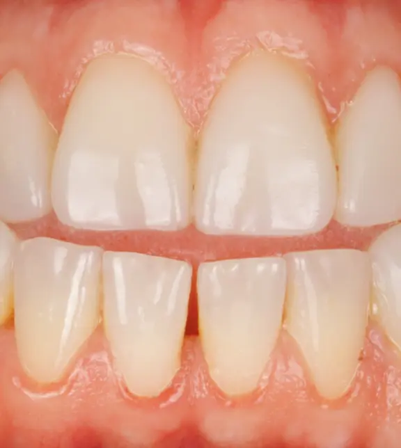
Correcting Worn Incisors - Dr Mark Flynn — View Close Up
:format(webp))
:format(webp))
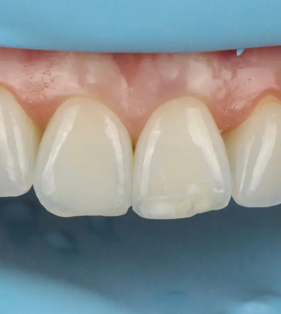
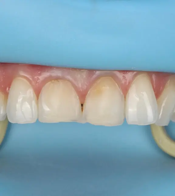
White Filling - Dr Mark Flynn — View Close Up
:format(webp))
:format(webp))
Full Mouth Tooth Wear Treatment - Dr Mark Flynn — View Close Up
:format(webp))
:format(webp))
Heavily damaged tooth - Dr Mark Flynn — View Close Up
:format(webp))
:format(webp))
Restoration after Root Canal - Dr Mark Flynn — View Close Up
:format(webp))
:format(webp))
Transformation with internal whitening and bonding — View Close Up
:format(webp))
:format(webp))
Alternative to crowns — View Close Up
:format(webp))
:format(webp))
Replacement of amalgam with onlay — View Close Up
The home of happy teeth
What our patients have to say
Loading form...
Book your free consultation.
We'll assess your situation and answer all your questions!
:quality(80):format(webp))