:format(webp))
The orthodontist will analyse the position of your teeth and take critical measurements of your bite to determine whether or not ceramic braces are a suitable option.
Dental clinic in Shoreditch, London
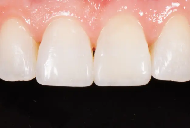
Ceramic braces are a discreet, fixed orthodontic treatment that uses clear or tooth-coloured braces to guide your teeth into alignment.
:format(webp))
Ceramic braces are a type of fixed-brace orthodontic treatment, known for their subtle look.
Fitted and adjusted by a professional orthodontist, they apply controlled pressure to correct crowding, spacing, and bite issues.
While they are similar to metal braces, ceramic braces have clear or tooth-coloured brackets.
The ceramic used is made from a mixture of aluminium oxide and safe bio-compatible ceramics.
The result? A straighter smile with the effectiveness of traditional metal braces, but more aesthetically pleasing.
:format(webp))
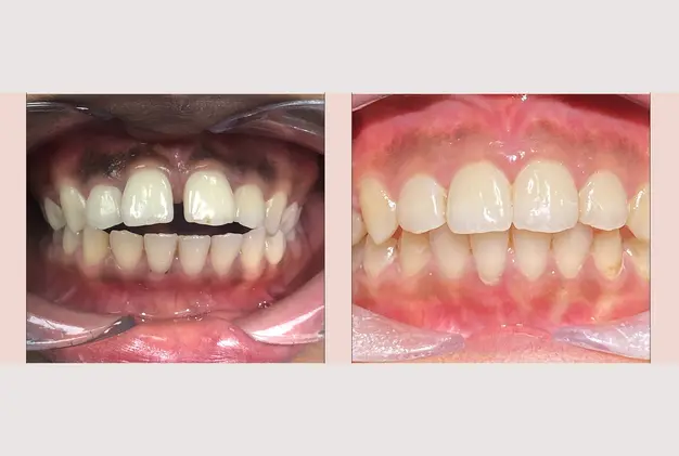
Ceramic Braces Before and After Photos
Ceramic braces work in a very similar way to traditional metal braces, except they are specifically designed to look more discreet.
This treatment works by using wires, brackets, and small elastics to guide your teeth into the desired positions using gentle pressure.
Tooth-coloured or clear brackets are glued to the centre of each tooth using a specialised dental adhesive.
Next, a thin wire is attached to each bracket using an elastic.
Over time, the bracket and the wire work together to straighten the teeth.
You'll see the orthodontist every 4-6 weeks to change the wires and track your progress.
Treatment typically lasts between 6 and 24 months.
:format(webp))
You may be a suitable candidate for ceramic braces if you want the same benefits as traditional metal ones but prefer a more subtle aesthetic.
Both adults and teenagers are good candidates, as well as older children (although their suitability will need to be assessed by a specialist orthodontist).
When getting your braces fitted, you can expect the following:
:format(webp))
The orthodontist will analyse the position of your teeth and take critical measurements of your bite to determine whether or not ceramic braces are a suitable option.
:format(webp))
During the treatment process, you'll need to visit the orthodontist every 4-6 weeks to monitor your results and tighten your wires.
You may feel some discomfort after each appointment, but any symptoms are generally temporary.
Appropriate for adults, teens, and older children.
However, the orthodontist will assess suitability.
Ceramic braces are less noticeable, as they are made from tooth-coloured or clear ceramic brackets that blend in with your teeth.
Can address a range of dental anomalies, including simple alignment issues and complex bite problems.
Ceramic braces can help you feel more confident when smiling, speaking, or socialising as they are less visible than traditional braces.
:format(webp))
Once your brace has been fitted, your orthodontist will provide you with a list of aftercare instructions, which typically includes:
What you can and cannot eat
How to look after your gums
What pain relief to use if necessary
How to avoid staining
The orthodontist will also tell you how often they will need to see you and encourage you to call them in the case of an emergency.
:format(webp))
Before and After Ceramic Braces
Ceramic braces treatment typically begins at around £3,100. However, the total cost depends on:
The complexity of your case
Whether or not both your upper and lower teeth are being treated
Length of treatment
Estimated costs are provided on a case-by-case basis and will be outlined by your orthodontist before beginning the treatment process.
Loading form...
Located at the City end of Shoreditch, we are very accessible by tube:
Two minute walk from Old Street Tube Station (Northern Line)
Ten minute walk from Moorgate/Liverpool St Tube and rail stations (National Rail, Elizabeth Line, Central, Circle, Hammersmith & City and Metropolitan Lines, and London Overground).
We are on many bus routes, including the 43, 55, 135, 205, 214, and 243.
There is some limited Pay & Display street parking across the road from the practice and a nearby car park on Clere Street.
We have good disabled access for all our treatments and services, including our OPG and CBCT scanner and our well-proportioned bathroom.
We look forward to welcoming you in person very soon!
We'll assess your situation and answer all your questions!
:quality(80):format(webp))
While ceramic braces are made from a highly stain-resistant material, the elastic that ties the wire into the bracket can pick up some colour over time.
To avoid this, be careful with certain drinks (like coffee and red wine) and maintain good oral hygiene.