Virtually Invisible
Unlike traditional braces, the Invisalign system doesn't use wires and brackets. These invisible braces are designed to blend in with your teeth, making them barely noticeable.
Dental clinic in Shoreditch, London
Achieve your dream smile without anyone noticing. Invisalign from The Modern Dentist makes it happen.
:format(webp))
Why You Might Need Invisalign? - Explains Dr Joyti Vasudev
Invisalign is a breakthrough in orthodontics. It's a system that uses a series of custom-made, clear plastic aligners to gradually move your teeth into a desired position.
Invisalign clear aligners are virtually invisible, so you can straighten your teeth without anyone knowing you're wearing braces. But what makes Invisalign treatment truly special is the precision it offers.
Using advanced 3D imaging software to help diagnose orthodontic issues, we will map out every step of your tooth movement before you even start wearing your aligners.
There is a common misconception that Invisalign software removes the need for a skilled clinician; this couldn't be further from the truth. The software is only as good as the dentist using it.
At The Modern Dentist, our orthodontic specialists go beyond the algorithms, applying their in-depth understanding of orthodontics to fine-tune your treatment. This combination of technology and our expertise guarantees your results are not just good, but extraordinary.
Tom Foley - Before and during treatment - Click to watch Tom's testimonial!
The cost of our Invisalign treatment varies depending on the complexity of your case, with prices starting from £3100.
We offer a range of payment options, including 0% interest financing, to make achieving your perfect smile as accessible as possible.
What you’re investing in is not just a set of Invisalign aligners, but the expertise that ensures they work precisely as they should.
:format(webp))
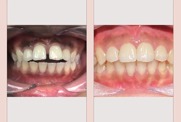
Before and After Invisalign
We'll begin with a consultation, where you'll meet your orthodontist to discuss what you want to achieve from your Invisalign treatment. You'll be advised about what will be involved with your treatment, how long it will take and how much it will cost.
Once you decide to go ahead, we'll invite you back for a second appointment, during which we take photos and digital impressions of your teeth with a dental scanner. These digital impressions are used to create a highly accurate 3D model of your mouth, which allows us to plan every movement of your teeth straightening with incredible precision.
Periodically, you'll be given a new set of aligners, each designed to make small, gradual changes to the position of your teeth. You’ll wear each set for one to two weeks before moving on to the next, and the aligners will gently guide your teeth into their new positions over time.
This is nothing like orthodontic treatment of the past. Invisalign braces are orthodontics at its most advanced, without the discomfort and visibility of traditional fixed braces.
:format(webp))
Our extraordinary specialist orthodontist, Dr Joyti Vasudev.
The journey to straighter teeth isn’t simple; it’s an art and a science. A specialist orthodontist brings years of training and experience to your Invisalign treatment, ensuring every tooth is moved precisely.
Choosing specialist Invisalign providers, like Dr. Joyti Vasudev at The Modern Dentist, means fewer complications, faster results, and a more comfortable experience. And their knowledge will allow them to tweak and modify as the treatment progresses.
In short, it’s the difference between a good smile and a beautiful smile.
Unlike traditional braces, the Invisalign system doesn't use wires and brackets. These invisible braces are designed to blend in with your teeth, making them barely noticeable.
Made from smooth, flexible plastic, Invisalign aligners are custom-made to fit your mouth perfectly, reducing the risk of irritation.
Thanks to our digital treatment planning, our Invisalign patients know exactly what to expect at each stage of their treatment.
Your orthodontist will be able to show you a digital mockup of how your new straight teeth will look after treatment before you begin, so you know what you've got to look forward to.
Because Invisalign are removable aligners, it’s easier to maintain good oral hygiene. You can brush and floss as usual, reducing the risk of cavities and gum disease during your treatment.
A step-by-step guide to Invisalign
:format(webp))
Your Invisalign journey begins with a one-on-one consultation with one of our experienced orthodontists. This is more than just a meet-and-greet; it’s an opportunity for us to understand your goals and what you hope to achieve with Invisalign.
We’ll listen to your concerns, discuss the specific changes you want to see, and consider any potential challenges. If there are alternative treatments that might be better suited to your needs, we’ll discuss those as well.
Our goal is to make sure you feel informed and confident in your decision to move forward with Invisalign.
Loading form...
:format(webp))
The proof is in the results. Check out our gallery of real patient transformations and see how Invisalign could give you a new smile.
Don’t just take our word for it—hear from patients who have experienced the life-changing benefits of Invisalign at The Modern Dentist.
Located at the City end of Shoreditch, we are very accessible by tube:
Two minute walk from Old Street Tube Station (Northern Line)
Ten minute walk from Moorgate/Liverpool St Tube and rail stations (National Rail, Elizabeth Line, Central, Circle, Hammersmith & City and Metropolitan Lines, and London Overground).
We are on many bus routes, including the 43, 55, 135, 205, 214, and 243.
There is some limited Pay & Display street parking across the road from the practice and a nearby car park on Clere Street.
We have good disabled access for all our treatments and services, including our OPG and CBCT scanner and our well-proportioned bathroom.
We look forward to welcoming you in person very soon!
We'll assess your situation and answer all your questions!
:quality(80):format(webp))
Technically, yes. But really good results with Invisalign rely on the skill level of the clinician using it. The problem with dentists who don't possess the expertise to understand orthodontics thoroughly is that they often rely entirely on software and so often can't troubleshoot when teeth don't cooperate and things start to go wrong.
At The Modern Dentist, our specialists have years of experience with Invisalign, allowing us to anticipate and address any challenges that might arise during treatment. If you have questions about choosing the right provider, we’re here to help—reach out to us anytime.