Teeth Grinding (Bruxism Treatment)

5.0

Dental clinic in Shoreditch, London

The Modern Dentist specialises in developing bespoke treatment plans for Bruxism (teeth grinding).

What is Bruxism?

Dr Sarah Hughes Explains Teeth Grinding (Bruxism Treatment)

What is Bruxism?

The medical term for teeth grinding and clenching is Bruxism.

It’s a repetitive, involuntary jaw muscle activity characterised by clenching, grinding, bracing or thrusting, with or without tooth contact. It affects adults and children.

Luckily, there are treatment options available to reduce the effects of Bruxism and relieve symptoms.

5.0

Dental clinic in Shoreditch, London

How Much Does Bruxism Treatment Cost?

The initial consultation costs £120.

You will receive a full assessment and a recommended self-care management plan.

Treatment options also include occlusal appliances or botulinum toxin injections.

  • Bruxism Consultation: £120

  • Soft bite raising appliance: £150

  • Sleep Clench Inhibitor: £550

  • Bruxism botulinum toxin From: £375

What Are The Symptoms Of Bruxism

Bruxism symptoms include:

  • Clenching and grinding habit (self or family/friend/colleague),

  • A painful jaw

  • Difficulty opening or closing your mouth

  • Indentations and bite marks on your tongue and the insides of the cheeks

  • Tooth damage and broken dental work

  • Sensitive teeth

  • Poor sleep quality and sleep apnoea

Long-term Effects Of Bruxism

There are also long-term effects of Bruxism to be aware of, including:

  • Prolonged untreated migraines

  • Excessive facial muscle tone

  • Temporomandibular Joint Disorders (TMJ disorders) 

  • Long-term insomnia and other sleep-related disorders

  • Clicking or popping jaw joint

  • Shoulder and neck pain

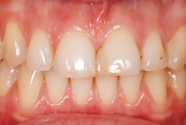
  • Tooth wear and tooth loss

Risk Factors

There are many risk factors for Bruxism, including stress, anxiety, sleep disorders like sleep apnoea, joint hypermobility, certain medications, and lifestyle habits like smoking, drinking alcohol, and high caffeine consumption.

The Bruxism Treatment Procedure

During your initial consultation, we'll discuss your full dental history and identify any risk factors that may lead you to grind your teeth.

Your dentist will also perform temporomandibular joint disorder screening and ask you to complete a Patient Health and Chronic Pain Intensity Questionnaire.

Benefits of Bruxism Treatment

Reduced Headaches And Jaw Pain

Bruxism creates tension in your jaw muscles, which can cause regular headaches that vary in severity.

When you seek Bruxism treatment, you can massively reduce and even completely eliminate discomfort.

Protect Your Teeth

Long-term clenching and grinding will wear down your tooth enamel, increasing the chances of sensitivity, chips, and cracks in the top and bottom teeth.

Immediate treatment will reduce the risks of further damage and can prevent you from having to pay for expensive implants and crowns.

Mental Health

Night-time Bruxism can disrupt your sleep (and impact your partner), but treatment can prevent daytime lethargy and reduce stress.

In the long term, you can enjoy better mental health.

Reduced Risk Of TMJ And Tinnitus

When Bruxism is left untreated, it can lead to TMJ and tinnitus, but treatment can reduce these symptoms and prevent you from developing long-term conditions.

A better Smile

Prolonged grinding can cause changes to your facial structure, including worn teeth and a square, bulky jaw. Getting treatment preserves your appearance.

Doctify Reviews

Your Dentist In Shoreditch, London

Located at the City end of Shoreditch, we are very accessible by tube:

  • Two minute walk from Old Street Tube Station (Northern Line)

  • Ten minute walk from Moorgate/Liverpool St Tube and rail stations (National Rail, Elizabeth Line, Central, Circle, Hammersmith & City and Metropolitan Lines, and London Overground).

We are on many bus routes, including the 43, 55, 135, 205, 214, and 243.

There is some limited Pay & Display street parking across the road from the practice and a nearby car park on Clere Street.

We have good disabled access for all our treatments and services, including our OPG and CBCT scanner and our well-proportioned bathroom.

We look forward to welcoming you in person very soon!

FAQs

Although teeth grinding is a common benign condition, if left untreated, it can be destructive to teeth and affect chewing function.

Many symptoms are unlikely to be dental-related, and often, Bruxism is left untreated for many years.

Severe Bruxism can cause significant pain and damage, including jaw pain, headaches, earaches, and tooth damage, potentially leading to TMJ disorders.

It is common for patients to turn to their GP or a plethora of healthcare providers seeking relief for chronic pain that actually originates from Bruxism!

Book Your Appointment.

We'll assess your situation and answer all your questions!

Laughing Woman Image