Lack of Visibility
They're the least visible of all orthodontic treatments
Dental clinic in Shoreditch, London
Lingual Braces are fixed braces but they attach to the inside of your teeth, making them invisible
:format(webp))
Lingual braces use a similar software planning process to Invisalign but in this case to create a fixed appliance that's bonded to the inside of your teeth, instead of on the outside, like conventional braces.
:format(webp))
:format(webp))
Corbyn Asbury - Orthodontics & Bonding - Dr. Mark Flynn — View Close Up
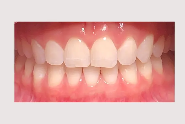
For those patients who really don't want anything visible at all when they speak or smile, lingual braces provide an option that doesn't show.
They move teeth in the same way as conventional fixed braces but are more complex, partly due to the very restricted space on the inside of your teeth, and all the chewing and grinding that happens on these surfaces.
:format(webp))
Before choosing lingual braces, there are several things to be aware of:
They're more expensive than any other orthodontic treatment because the appliances need to be made by an external company, and the treatment is highly complex and difficult compared to other forms of treatment
There can be issues with speech, due to the altered position of the tongue hitting the teeth in certain sounds
They can be more likely to require ongoing repair during treatment due to damage from chewing and grinding
They're the least visible of all orthodontic treatments
Despite their lack of visibility, they move teeth efficiently like conventional fixed braces
Because the visible surfaces of your teeth aren't directly involved, staining isn't an issue.
Loading form...
Located at the City end of Shoreditch, we are very accessible by tube:
Two minute walk from Old Street Tube Station (Northern Line)
Ten minute walk from Moorgate/Liverpool St Tube and rail stations (National Rail, Elizabeth Line, Central, Circle, Hammersmith & City and Metropolitan Lines, and London Overground).
We are on many bus routes, including the 43, 55, 135, 205, 214, and 243.
There is some limited Pay & Display street parking across the road from the practice and a nearby car park on Clere Street.
We have good disabled access for all our treatments and services, including our OPG and CBCT scanner and our well-proportioned bathroom.
We look forward to welcoming you in person very soon!
Dental clinic in Shoreditch, London
We'll assess your situation and answer all your questions!
Dental clinic in Shoreditch, London
:quality(80):format(webp))