:format(webp))
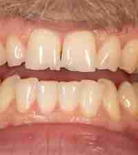
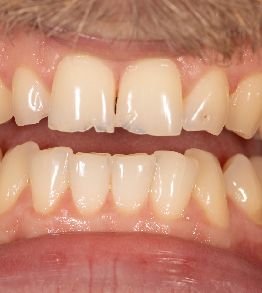
Before we begin your journey to a brighter smile, our initial consultation ensures that teeth whitening is the best option for you.
During this stage, we carefully examine your teeth and gums to confirm suitability for the treatment. We also discuss any specific conditions or concerns that may affect your whitening process.
This personalised assessment helps us tailor the treatment to your unique needs, ensuring the best possible results.
:format(webp))
:format(webp))
:format(webp))
:format(webp))
:format(webp))
:format(webp))
:format(webp))
:format(webp))
:quality(80):format(webp))