:format(webp))
It makes such a difference to how you feel and it just makes you want to smile!
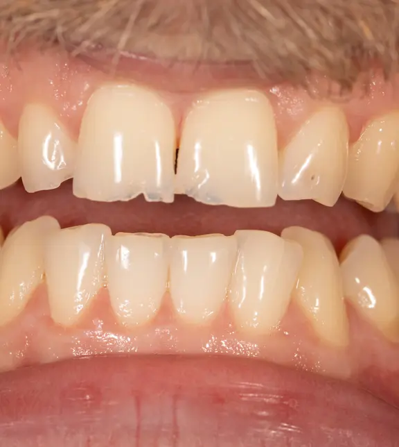
The whole experience of The Modern Dentist made me feel at ease and comfortable; the space is beautiful and relaxing and the reception staff are really friendly and professional. I went for a general check up, as well as at home whitening treatment and composite bonding - Mark and his team were brilliant! They took such care in looking after me, explaining everything they were doing so I understood, and I'm so happy with the results of my smile!
:format(webp))
:format(webp))
:format(webp))
:format(webp))
:format(webp))
:format(webp))
:format(webp))
:format(webp))
:format(webp))
:format(webp))
:format(webp))
:format(webp))
:format(webp))
:format(webp))
:format(webp))
:format(webp))
:format(webp))
:format(webp))
:format(webp))
:format(webp))
:format(webp))
:format(webp))
:format(webp))
:format(webp))
:quality(80):format(webp))