Composite Bonding Before & After Photos
Table Contents:
Composite bonding is a highly effective and affordable way to enhance your smile.
The treatment addresses minor cosmetic issues, such as crooked and broken teeth.
However, it can also result in a complete transformation, boosting your confidence and oral health.
At The Modern Dentist, we've helped hundreds of clients achieve their dental goals through composite bonding.
"Please take a look at our before and after photos to see how our expert dentists can help you."
:quality(80):format(webp))
Composite Bonding On Crooked Teeth Before and After
Many people deal with crooked teeth, but dental bonding is one of the best ways to change their appearance.
We use the cosmetic treatment to mask or camouflage crooked teeth, but it's most effective for people with mild issues.
For example, if your teeth sit slightly behind their neighbours, your dentist can use composite bonding to add volume to the front of the tooth, aligning it with the rest of your teeth.
We can also lengthen teeth that may appear shorter due to their relative position to the other teeth.
:format(webp))
:format(webp))
Lisa - Whitening & Bonding - Dr Mark Flynn — View Close Up
:format(webp))
:format(webp))
Julia Gibbs - Composite Bonding - Dr Mark Flynn — View Close Up
:quality(80):format(webp))
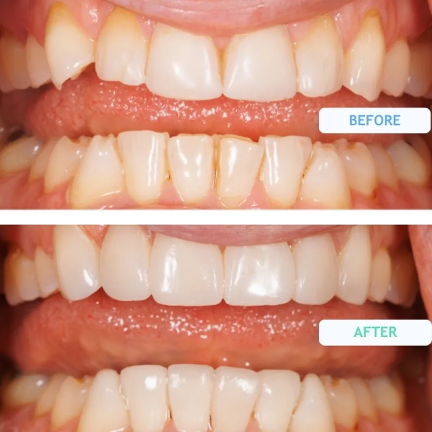
Composite Bonding on Chipped or Broken Teeth Before and After
Aside from being able to treat crooked teeth, composite tooth bonding can restore chipped and broken teeth.
Unlike other dental treatments - such as porcelain veneers - composite is an affordable way to restore your smile after an accident or if your teeth become worn due to excessive grinding.
Our dentists specialise in replacing the missing tooth structure, carefully matching it to your existing teeth, and ensuring there's no evidence of the missing part.
Cosmetic bonding is still a viable treatment even when most of the tooth structure is lost.
We're able to create a natural-looking restoration.
:format(webp))
:format(webp))
Kate Monaghan - Composite Bonding - Dr Mark Flynn — View Close Up
:format(webp))
:format(webp))
Composite Bonding - Dr Mark Flynn — View Close Up
:quality(80):format(webp))
Composite Bonding On Bottom Teeth Before and After
While teeth bonding is often associated with the upper teeth, our treatments are also suitable for the lower teeth.
In fact, many of our clients choose it because bottom teeth bonding creates a natural-looking smile.
Bonding on lower teeth can be more complex because the bite and contact with your upper teeth can restrict how much composite material we can apply.
However, our experts are highly skilled in full restorations and will develop bespoke solutions that give you the perfect smile.
Could Composite Bonding Be Good For You?
Get all your questions answered during a free consultation :)
Dental clinic in Shoreditch, London
:quality(80):format(webp))
:quality(80):format(webp))
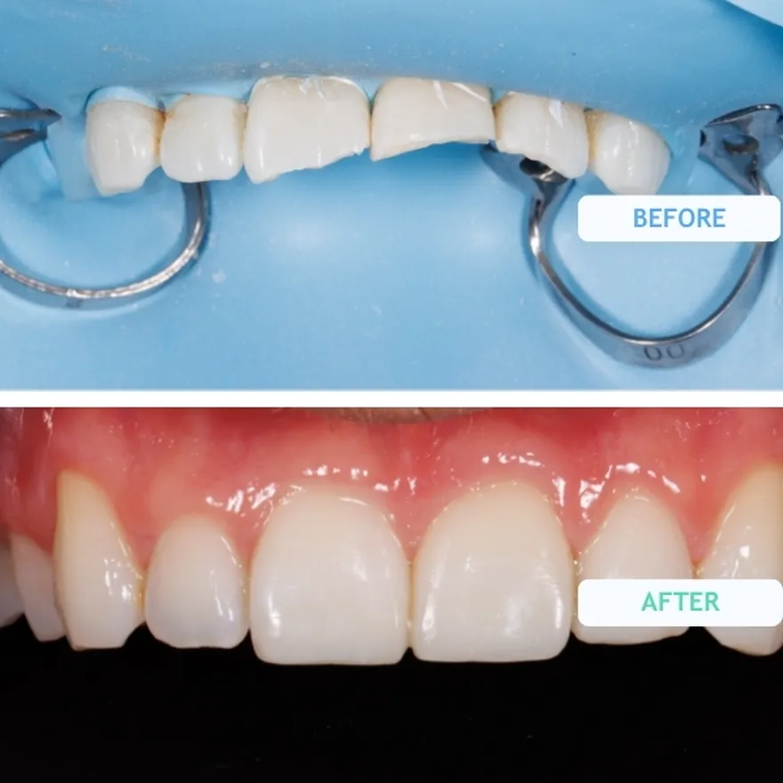
Composite Bonding On Gaps In Teeth Before and After
Composite bonding is highly effective for closing small to medium gaps between the teeth.
By applying resin material to the underlying tooth structure, we can make it appear larger and close the gaps.
The dentist will apply tooth-coloured composite resin, closing the gaps and creating a beautiful smile.
:format(webp))
:format(webp))
Laura McVicker - Composite Bonding - Dr Mark Flynn — View Close Up
:format(webp))
:format(webp))
Douglas Hardy - Composite Bonding - Dr Mark Flynn — View Close Up
:quality(80):format(webp))
Composite Bonding On Overlapping Teeth Before and After
Orthodontic treatment - including braces or Invisalign - is the go-to treatment for overlapping teeth, but we can use composite bonding in mild cases.
It's also an affordable way to treat mild overlaps, but your dentist may recommend orthodontic treatment if they feel it will have the best results.
:quality(80):format(webp))
Composite Bonding On Small Teeth Before And After
Excessively small teeth can cause confidence and self-esteem issues, but composite bonding is one of the most effective forms of cosmetic dentistry to address the problem.
We can use bonding to increase the volume of small teeth, whether the condition stems from genetic factors or grinding and wear.
The treatment will make your teeth appear larger than they are, creating a more uniform smile.
:quality(80):format(webp))
Composite Bonding On Front Teeth Before And After
While we can use composite bonding on any teeth, many people choose it for their front teeth because they're in the aesthetic zone (the teeth that are visible when you smile).
The aesthetic zone covers the upper front ten teeth and lower front six, but our composite bonding treatments result in complete smile makeovers.
Could Composite Bonding Be For You?
Get all your questions answered during a free consultation :)
Dental clinic in Shoreditch, London
:quality(80):format(webp))
Transform Your Smile Today
In some cases, composite bonding is enough to treat crowding, minor gaps, and other cosmetic issues, but we may combine it with other treatments, including Invisalign and teeth whitening, to deliver the best possible results.
We've helped our clients get the smiles they dream of thanks to composite bonding.
If you'd like to explore our treatments, please get in touch with us today for a free consultation.
Loading form...
Book your free consultation.
We'll assess your situation and answer all your questions!
Dental clinic in Shoreditch, London
:quality(80):format(webp))
:format(webp))
:format(webp))
:quality(65):format(webp))
:quality(65):format(webp))
:quality(65):format(webp))